![]()
La elaboración del inmunógeno se lleva a cabo en colaboración con el Centro de Tecnología de Vacunas de la Universidad Federal de Minas Gerais. Ya se ha concretado también una solicitud para la realización de ensayos en humanos
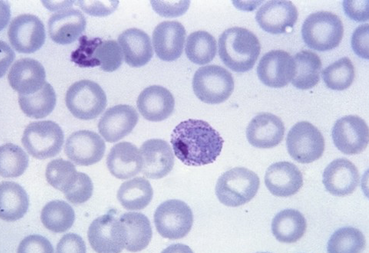
Una vacuna brasileña contra el tipo más común de paludismo en el país y en otras áreas del continente americano se encuentra actualmente en su etapa de tramitación de patente, y la solicitud para la concreción de los ensayos en humanos ante las agencias reguladoras se concretará durante este mes de enero. El inmunógeno contra el Plasmodium vivax atravesó con resultados prometedores la fase preclínica, destinada a evaluar su calidad, su eficacia y su seguridad.
No existe actualmente una vacuna contra el paludismo o malaria vivax, una enfermedad infecciosa causada por este parásito del género Plasmodium que se les transmite a los humanos a través de las picaduras de las hembras de mosquitos del género Anopheles. Las especies más comunes de Plasmodium en Brasil son tres: vivax, falciparum y malariae. Solamente contra la segunda la Organización Mundial de la Salud (OMS) recomienda desde el año 2021 la vacunación de los niños en algunos países del África subsahariana.
“Contamos con un producto inédito en el mundo y elaborado totalmente en Brasil. Mi objetivo desde el comienzo de la investigación hace más de diez años fue la obtención de una vacuna. Ahora estamos abocados a la etapa final para la autorización de los estudios clínicos”, dice la profesora de la Facultad de Ciencias Farmacéuticas de la Universidad de São Paulo (FCF-USP) Irene Soares, coordinadora del trabajo, junto al profesor Ricardo Gazzinelli, director del Centro de Tecnología de Vacunas (CT-Vacinas) y coordinador del Instituto Nacional de Ciencia y Tecnología de Vacunas (INCT-Vacinas) de Brasil.
Soares cuenta con el apoyo de la FAPESP en el marco de un Proyecto Temático. El grupo de científicos también contó con fondos federales provenientes del Consejo Nacional de Desarrollo Científico y Tecnológico (CNPq, INCT-Vacinas 465293/2014-0) para la realización de los estudios iniciales concernientes a la prueba de concepto, y de la Financiadora de Estudios y Proyectos (Finep, convenio 01.22.0046.00) para la concreción de los ensayos clínicos de fase I.
El compuesto inmunizante, al que se le ha dado el nombre de Vivaxin, pasó por pruebas de buenas prácticas de laboratorio (BPL) y de fabricación (BPF). Y tuvo su presentación durante el mes de septiembre de 2024 en el marco del 2º Congreso de Innovación y Sostenibilidad del Parque Tecnológico de Belo Horizonte (BH-TEC), labor a cargo del CT-Vacinas de la Universidad Federal de Minas Gerais (UFMG), socia de la USP en el desarrollo del producto.
“En Brasil existe una gran laguna en lo que concierne a líneas de investigación de vacunas, algo que quedó en evidencia durante la pandemia de COVID-19. En las universidades normalmente se lleva a cabo la investigación básica, que comprende la definición del antígeno y el adyuvante y las pruebas de concepto. A partir de allí, se publican artículos científicos y los estudios se interrumpen, es decir, no llegan hasta las vacunas. El objetivo de esta colaboración es atravesar el ‘valle de la muerte’ y arribar al producto final para la realización de ensayos en humanos, en el marco de un proceso desarrollado totalmente en el país, un hecho raro en la ciencia brasileña en el área de vacunas”, afirma Soares.
La solicitud de patente se concretó a finales de octubre del año pasado, y la misma estuvo a cargo de la Agencia USP de Innovación y el Centro de Transferencia e Innovación Tecnológica de la UFMG. La patente protege el proceso de producción y la fórmula final con el adyuvante desarrollado por el equipo del CT-Vacinas. Los resultados de las últimas pruebas saldrán publicados en poco tiempo más en una revista científica.
Asimismo, los investigadores ya habían demostrado en un artículo publicado en abril de 2024 en la revista Vaccine que el inmunógeno logró inducir altos niveles de anticuerpos en ratones y conejos, además de mostrarse seguro y con buena tolerancia. La fórmula combina en una sola molécula tres formas genéticas distintas −las denominadas variantes alélicas− de una proteína del Plasmodium vivax llamada PvCSP (proteína circunsporozoíta), con el objetivo de incrementar la eficacia y proteger contra todas las variaciones.
A diferencia del parásito falciparum (que es más común en el continente africano), la proteína blanco del Plasmodium vivax posee tres formas alélicas: VK210, VK247 y P. vivax-like. Y se convirtió en blanco por tratarse de un componente más abundante en la superficie de los esporozoítos, la forma oblonga del parásito presente en las glándulas salivales de los mosquitos transmisores, que infecta al ser humano contaminando el hígado. La misma exhibe un área que se une a los receptores celulares y a los anticuerpos.
En el estudio con la nueva fórmula, los anticuerpos que los ratones inmunizados elaboraron reconocieron las tres variantes: en algunos casos lograron prevenir totalmente la infección (protección estéril), y en otros retrasaron la aparición de los parásitos en la sangre. Durante los últimos años, los científicos testearon algunos adyuvantes con miras a reforzar la acción del inmunógeno. Una de estas pruebas resultó en otro artículo científico, publicado también de abril de 2024 en la revista Frontiers in Immunology, y contó con el apoyo de la FAPESP.
El panorama
La malaria es considerada endémica en la región amazónica, y constituye a su vez un problema de salud pública global. Provoca fiebre, escalofríos, temblores, sudoración y dolor de cabeza. En los casos graves puede causar convulsiones, hemorragias y alteración de la conciencia. Normalmente, los pacientes se tratan en régimen ambulatorio, y el SUS (las siglas del Sistema Único de Salud, la red nacional de salud pública de Brasil) suministra a tal fin pastillas gratuitamente.
Entre enero y octubre de 2024, Brasil registró 117.946 casos de la enfermedad, de los cuales un 80 % (95.113) correspondiente al Plasmodium vivax, de acuerdo con el Ministerio de Salud nacional. Una situación preocupante se ha detectado entre las poblaciones indígenas: fueron estimados 45.100 casos hasta el mes de septiembre, con un aumento de un 12 % con relación a idéntico período de 2023.
Durante el último Día Mundial Contra la Malaria, que se celebró el 25 de abril, la Organización Panamericana de la Salud (Opas) les pidió a los gobiernos que redoblen los esfuerzos en el enfrentamiento contra esta enfermedad cuyo impacto es mayor entre los pueblos indígenas, los migrantes y las poblaciones en situación de vulnerabilidad. En el año 2023, los países de América registraron alrededor de 480.000 casos de paludismo. Si bien dicha cifra ha venido declinando desde 2017 (cuando fueron 934.000 registros), algunos países aún se encuentran lejos de alcanzar la meta de disminución del 75 % para 2025.
Fuente: https://www.dicyt.com/





